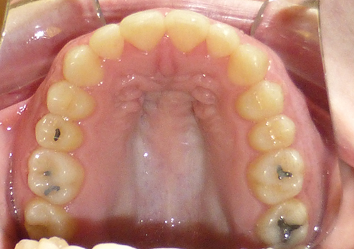
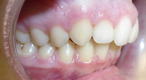
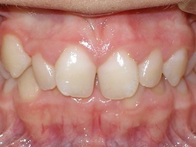
Before and After

Incredible results and inspiring journeys; see some of our patients' before and after photos next time you visit our practice.

our officeour office
our officeour office
our officeour office
our officeour office
our officeour office
our officeour office
our officeour office
our officeour office
our officeour office
our officeour office
our officeour office
our officeour office
our officeour office
our officeour office
our officeour office
doctor and happy patient

“I just really appreciate everyone here and the kindness you've shown to our girls. I know their parents would be so happy to know they get such great care. The doctors always go way out of their way to help us every time.”~ Allison

“We just love it here! The honesty is great. I love that we don't feel taken advantage of, which unfortunately we have been elsewhere. You have a great staff and we think the best of you! Keep up the good work. The doctors are always wonderful and never rushed, which I love!”~ The Goff Fmamily

“I may not have been to other orthodontists, but from what I hear from my friends and family, The Brace Place seems the best. Every time you walk in you are greeted with a smile, shich always starts your day off right. Couldn't ask for a better staff!”~ Diane E.

Read More
Invisalign iTero American Association of Orthodontists Pacific Coast Society of Orthodontists Cenral Oregon Dental Society